La mijlocul acestei luni, pe 10 octombrie, am celebrat din nou profesionalismul, dăruirea și implicarea celor care, zi de zi, oferă grijă și speranță pacienților. Și am făcut-o în cadrul celei de-a XIII-a ediții a Galei Premiilor de Excelență în Asistență Medicală a filialei noastre. Am onorat astfel asistenții medicali, ... Citiți mai mult...
Articole din Numarul din 23 Octombrie 2025
Timp aproximativ de lectură: 6 minute În sezonul rece, reapar nu doar ca temă editorială dar și ca probleme curente cu care ne confruntăm: bolile comune specifice sezonului rece. Trei dintre ele sunt cele mai cunoscute și ele includ: gripa, virusul respirator sincițial și Covid 19. Așa că ne-am propus să aducem ... Citiți mai mult...
Timp aproximativ de lectură: 6 minute Discutam în numărul anterior că siguranța pacientului înseamnă, înainte de toate, înțelegerea aprofundată a principiilor și practicilor siguranței pacienților. Astfel, timpul a demonstrat că cele mai eficiente dintre programele de siguranță a pacientului implementate în momentul de față la nivel mondial sprijină sistemele de testare și ... Citiți mai mult...
Timp aproximativ de lectură: 6 minute Datele publicate de Organizația Mondială a Sănătății (OMS) în aprilie 2023 arată că Regiunea Europeană a OMS a avut cea mai mare prevalență a cazurilor majore de boli orale (50,1% din populația adultă) dintre toate regiunile OMS din lume. Regiunea a avut, de asemenea, a ... Citiți mai mult...
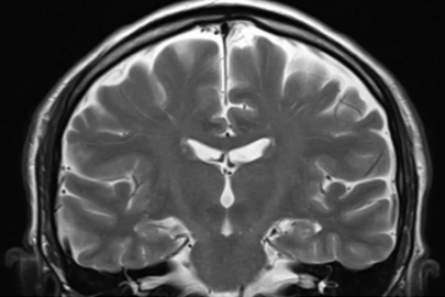
Timp aproximativ de lectură: 6 minute Aceasta este tema Zilei mondiale de luptă împotriva accidentului vascular cerebral 2025 și îndemnul campaniei Organizației Mondiale a Accidentului Vascular Cerebral (WSO). De ce această temă în acest an? Multe victime ale accidentelor vasculare cerebrale nu primesc tratament la timp deoarece semnele nu sunt observate sau ... Citiți mai mult...
Timp aproximativ de lectură: 5 minute Cercetarea a identificat mai multe instrumente de măsurare și predicție și mai multe informații cu privire la motivul pentru care există "reguli" diferite pentru femei față de bărbați în ceea ce privește longevitatea. Astfel, cu câteva luni în urmă, în luna iulie a acestui an, o ... Citiți mai mult...
Autori: Teodora Badea, Maria Augustina Baldovinescu, Stefana Maria Petrut, Editura Didactică Publishing House, 2025 Manualul Biochimie pentru școlile postliceale sanitare este un ghid complet, conceput pentru elevii din școlile postliceale sanitare. El oferă o bază solidă de cunoștințe esențiale pentru înțelegerea biochimiei și aplicarea acesteia în domeniul medical. Fiecare capitol este structurat astfel ... Citiți mai mult...
Autori: Carol J. Peden, Lee A. Fleisher, Michael Englesbe, Editura Elsevier, 2022 Lucrarea vorbește despre un proces din ce în ce mai important în toate domeniile asistenței medicale actuale, având ca obiectiv să facă asistența medicală mai sigură, mai eficientă, centrată pe pacient, oportună, echitabilă și eficientă. Fiecare capitol al volumului ... Citiți mai mult...
Autor: Dr. Emily Leeming, Editura Bookzone, 2024 Cele mai recente studii medicale arată că sănătatea digestivă este esențială pentru funcționarea optimă a organismului, jucând un rol crucial în combaterea inflamațiilor, în susținerea sistemului imunitar și în menținerea sănătății emoționale. În cartea Al doilea creier, dr. Emily Leeming, expertă în microbiom și dieteticiană, ... Citiți mai mult...


